广州医科大学附属第四医院

首页>医院动态>医院新闻

与“死神”赛跑!双重血浆置换技术为血管炎危重症患者点亮生命之光

近日,我院肾内科成功救治了

一名病情凶险的相关性血管炎(ANCA)

伴急进性肾小球肾炎

肺出血的中年男性患者

通过精准诊断、快速决策并运用

双重血浆置换(DFPP)联合免疫抑制治疗

患者在短时间内转危为安

血肌酐从699μmol/L降至258μmol/L

肺部病灶明显吸收

已于日前顺利出院


病例回顾:

咯血、肾衰竭,病情来势汹汹

     56岁的王先生(化名)是广东梅州人,平素身体尚可。今年1月中旬,他突然出现反复咯血并肉眼血尿,随后检查发现血肌酐竟高达529.9μmol/L。短短数日,病情急剧恶化,王先生被紧急送入我院。

ScreenShot_2026-03-07_202039_624.png


     入院时,王先生血肌酐飙升至699μmol/L,尿检提示大量红细胞,血红蛋白仅81g/L,呈中度贫血,同时,他的抗髓过氧化物酶抗体(MPO-Ab)>400.00 RU/ML,远超正常值。咯血的背后,是致命的肺出血。对于ANCA相关性血管炎患者来说,咯血不仅仅是呼吸道症状,更可能意味着肺部微血管正在被自身免疫系统攻击,导致肺泡出血。若不及时控制,可能迅速发展为弥漫性肺出血,引发呼吸衰竭,甚至窒息死亡。

ScreenShot_2026-03-07_202144_936.png

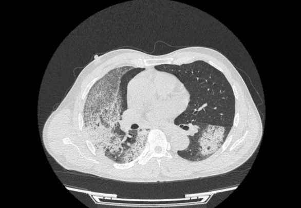
△入院时胸部CT图像

注:图像显示双肺多发渗出病灶,以右肺为著


     “患者肾功能快速进展,合并咯血、贫血,临床上高度怀疑急进性肾炎综合征。”我院肾内科团队迅速启动多学科协作机制。为进一步明确病因,1月23日,团队为王先生实施彩超引导下肾穿刺活检术,病理结果证实为ANCA相关性血管炎肾损害,同时结合影像学表现,肺部病灶亦符合血管炎相关肺出血改变。

ScreenShot_2026-03-07_202229_057.png

△肾穿刺活检病理图像(ANCA相关性血管炎)

注:病理图像显示肾小球毛细血管襻纤维素样坏死及新月体形成,符合急进性肾小球肾炎改变

与时间赛跑:

双重血浆置换联合免疫抑制,力挽狂澜


     ANCA相关性血管炎是一种可累及全身多系统的自身免疫性疾病,一旦快速进展至急进性肾小球肾炎合并肺出血,病情凶险,死亡率极高。治疗的关键在于迅速清除体内致病抗体和免疫复合物,阻止其对肾脏和肺部的进一步攻击,同时抑制免疫系统异常活化。面对王先生病情重、进展快的特点,尤其是反复咯血提示活动性肺出血,肾内科团队果断决策:在给予甲泼尼龙冲击后口服激素序贯及环磷酰胺免疫抑制治疗的基础上,立即启动双重血浆置换(DFPP)治疗,尽快清除致病抗体,阻断肺部和肾脏的进一步损伤。在充分告知治疗必要性、可能风险及费用后,经患者及家属签字同意,团队于住院期间先后为王先生实施了4次双重血浆置换治疗。与此同时,联合环磷酰胺(累计0.6g)进行免疫调节治疗。

技术亮点:

双重血浆置换,精准清除致病物质

什么是双重血浆置换?

     双重血浆置换(double filtration plasmapheresis,DFPP)并非简单的血液净化,而是融合了物理分类与精准筛选的尖端技术。全血首先通过膜式血浆分离器,高效分离出血浆成分,随后经特定孔径的血浆成分分离器,选择性地清除血浆中的大分子致病物质——如自身抗体、免疫复合物等,而将白蛋白等有益成分回输体内。

与传统的血浆置换相比,

双重血浆置换具有以下优势:

  • 不依赖外源性血浆:避免血浆过敏、感染等风险,安全性更高;

  • 选择性更强:精准清除致病物质,减少有益成分丢失;

  • 治疗效率更高:每次治疗可清除大量致病抗体。

      
       对于王先生这样的危重症患者,DFPP能够快速降低体内MPO抗体水平,减轻血管炎对肾脏和肺部的攻击,为后续免疫抑制治疗赢得时间。

治疗效果显著:

抗体下降、肾功能恢复、肺部病灶吸收

经过4次双重血浆置换及免疫调节治疗,王先生的病情迎来转机:

  • MPO抗体显著下降:从>400.00 RU/ML降至163.23 RU/ML;

  • 肾功能逐步恢复:血肌酐从699μmol/L降至258μmol/L;

  • 肺部病灶明显吸收:复查胸部CT提示双肺多发炎症较前明显吸收、减少;

  • 尿量正常:24小时尿量稳定在1500ml左右。

△治疗后复查胸部CT图像

注:复查胸部CT显示双肺多发病灶较前明显吸收、减少。

  出院前,王先生无咯血、无肉眼血尿,生命体征平稳,血压控制在126/78mmHg,精神、食欲、睡眠均有明显改善。

适应症与禁忌症:双重血浆置换适合哪些患者?

适应症包括:

  1. 肾脏疾病:ANCA相关性血管炎(尤其是伴急进性肾小球肾炎、肺出血者)、抗肾小球基底膜病(Goodpasture综合征)、重症狼疮性肾炎、器官移植后排斥反应等


  2. 肝脏疾病:重症肝炎、肝衰竭(辅助清除胆红素、内毒素、炎症介质等)


  3. 代谢性疾病:家族性高胆固醇血症(尤其纯合子型);甲亢危象、严重高甘油三酯血症胰腺炎等

  1. 血液系统疾病:巨球蛋白血症、血栓性微血管病(如TTP、aHUS)、多发性骨髓瘤相关高粘滞或肾损伤、难治性免疫性血小板减少症等

  1. 神经免疫性疾病:重症肌无力危象、吉兰-巴雷综合征、慢性炎性脱髓鞘性多发性神经病(CIDP)、视神经脊髓炎谱系疾病(NMOSD)、难治性自身免疫性脑炎

  1. 中毒与药物过量:清除与蛋白紧密结合且常规血液透析无效的毒素或药物

禁忌症包括:

  1. 绝对禁忌症:对血浆分离器或管路材料严重过敏;

  2. 相对禁忌症:严重出血倾向、严重活动性感染、血流动力学不稳定等。


   本例患者的成功救治,显示了我院肾内科在重症血管炎诊疗领域的综合实力,也凸显了双重血浆置换等先进技术在危重症救治中的关键作用。从快速精准诊断,到及时启动血浆置换、实施个体化免疫治疗,每一个环节都凝聚着团队的密切协作与对生命的敬畏担当。

 目前,王先生已带药出院,遵医嘱继续激素减量、定期门诊随访。我们祝愿他早日康复,重返正常生活。

 温馨提示:ANCA相关性血管炎早期症状不典型,若出现不明原因的发热、关节痛、皮疹、咯血、尿量减少、浮肿等,请及时到医院就诊,早诊断、早治疗是改善预后的关键。(来源:肾内科 冼华艳)

微信扫一扫,
分享到朋友圈